По вопросам статуса заказа и отправления:
Консультации и оптовые закупки:
Сотрудничество, решение споров, опт:
График работы:
ПН - Сб: с 10:00 до 19:00
ВС: Выходной

Видно ли на флюорографии, что человек курит вейп?

Видно ли на флюорографии, что человек курит вейп?

Видно ли на флюорографии, что человек курит вейп?
05.12.2025
0
191
5 мин.

Можно ли на флюорографии увидеть, что человек парит электронные сигареты

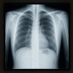
Снимок флюорографии легкихПонятный интерес, который возникает у многих пользователей электронных сигарет, связан с тем, можно ли на флюорографии увидеть, что человек парит электронные сигареты. Большинство задается этим вопросом и из-за растущей популярности парения появляется логичное беспокойство: фиксирует ли флюорография какие-то специфические изменения, которые отличают вейпера от обычного некурящего человека. Важно понимать, что сама методика рентгенологического исследования не предназначена для выявления факта использования электронок, однако внимание остается — особенно у тех, кто регулярно проходит медосмотры.

Часть людей предполагает, что влияние вейпинга на флюорографию должно быть заметным из-за плотного пара или состава жидкостей. Другие, наоборот, уверены, что пар полностью улетучивается и не может оставлять никаких следов на снимке. Реальность более многослойная: хоть процедура действительно оценивает состояние легочной ткани, её чувствительность к последствиям парения ограничена и не позволяет однозначно определить сам факт использования вейпа. Но иакже при определённых условиях хроническое раздражение дыхательных путей может быть косвенно заметно.

Чтобы разобраться в деталях, важно рассматривать не только технические возможности рентгенодиагностики, но и то, какие реакции может вызывать парение в дыхательных путях. Здесь актуален вопрос: влияет ли вейп на флюорографию с позиции выявляемых изменений, и можно ли назвать их специфическими именно для электронных сигарет. На практике врачи ориентируются на общие признаки воспалительных процессов или бронхиальных реакций, которые характерны для разных типов раздражителей, а не только для никотинсодержащего пара.

Также на результат влияет частота парения, состояние организма, возраст, история курения сигарет и индивидуальная реакция на компоненты жидкости. Поэтому вопрос, видно ли на флюорографии курение электронных сигарет, нельзя рассматривать в отрыве от контекста — исследования показывают, что сам факт курения дудки не отражается напрямую, но возможные последствия постоянного вдыхания аэрозоля иногда дают косвенные изменения.

Покажет ли флюорография следы вейпинга: мифы и факты

Существует распространённый миф, что флюорография может напрямую указать, что человек использует электронный девайс. На самом деле, методика не фиксирует химический состав выдыхаемого пара, поэтому невозможно установить факт парения как таковой. Даже при плотном и регулярном курении электронных дудок снимок не показывает четких маркеров, по которым врач мог бы уверенно сказать, что пациент парит. Поэтому утверждение, что парение и флюрография несовместимы в плане скрытности, не правильно.

Однако другой миф тоже нуждается в уточнении: якобы вейпинг никак не отражается на состоянии легких, и снимок всегда остается идеально чистым. Исследования показывают, что влияние вейпинга на флюрографию косвенно всё же существует — особенно при длительном использовании или комбинации парения с традиционным курением. Раздражённая слизистая, повышенная активность goblet-клеток, лёгкая гиперсекреция мокроты могут создавать общие признаки бронхиального реагирования, которые врач замечает в виде усиленного легочного рисунка.

Поэтому вопрос, влияет ли вейп на флюрографию, корректнее рассматривать как анализ косвенных последствий. Флюорография показывает воспаление, инфильтрацию, расширение корней или участки затемнений, но все эти признаки неспецифичны и встречаются при самых разных состояниях — от аллергии до перенесённой инфекции. При лёгком или эпизодическом использовании электронных сигарет снимок может остаться без изменений.

Именно поэтому формулировка «можно ли на флюорографии увидеть, что человек парит электронные сигареты» требует пояснения: увидеть само парение невозможно, но увидеть последствия раздражения дыхательных путей — в отдельных случаях да. Особенно если сочетать вейп с сигаретами или иметь хронические заболевания дыхательной системы.

Врач всегда оценивает общую картину: прозрачность лёгочных полей, состояние сосудистого рисунка, тени корней, наличие уплотнений или участков перегрузки. Эти признаки могут усиливаться у активных курильщиков, но редко бывают специфическими именно для пользователей электроннок.

Топ продаж электронных сигарет

Что видит врач на флюорографии/рентгене у вейпера и у курильщика

При сравнении снимков курильщика сигарет и человека, который парит вейпы, различия обычно менее выражены, чем кажется. У традиционного курильщика на снимке чаще отмечают утолщение стенок бронхов, перераспределение сосудистого рисунка, более выраженное расширение корней. Электронный пар даёт иное воздействие: он раздражает слизистую, но не содержит продуктов горения, которые приводят к хроническим дегенеративным изменениям.

У вейпера снимки чаще ближе к норме, однако при длительном парении может появляться небольшое усиление бронхиального рисунка. Поэтому ответ на вопрос «видно ли на флюорографии курение электронных сигарет» — скорее нет, если речь идет о прямых маркерах. Но полностью исключать влияние нельзя: у чувствительных пациентов даже лёгкое воспаление может визуализироваться. Особенно у тех, кто использует жидкости с высоким содержанием ароматизаторов или парит интенсивно. Кстати, именно здесь важно качество самих жидкостей, и подбор безопасных составов, которые вы можете найти в разделе Жидкости для POD.

Что известно о влиянии вейпинга на лёгкие по данным исследований

Исследования последних лет показывают, что электронный пар оказывает преимущественно раздражающее действие. Это выражается в лёгкой гиперреактивности бронхов и повышении вязкости секрета у некоторых обследуемых. На флюорографии это может выглядеть как умеренное усиление лёгочного рисунка, но не как специфический признак парения.

Также данные показывают, что воздействие аэрозоля различается в зависимости от состава жидкости. Чем выше концентрация ароматизаторов и чем интенсивнее вам приходится тянуть, чтобы получить насыщенность, тем выше риск раздражения нижних дыхательных путей. Косвенные признаки иногда перекликаются с данными традиционных курильщиков, но выражены слабее.

Воспаление лёгких, связанное с вейпингом: что важно знать

В редких случаях развивается так называемый EVALI — воспалительное поражение лёгких, связанное с парением. Оно встречается редко и связано в основном с нелегальными жидкостями. На рентгене оно заметно отчётливо, но такие изменения не имеют отношения к обычному использованию сертифицированных жидкостей. При этом важно понимать: если человек использует качественные одноразовые электронные сигареты или проверенные жидкостные системы, риск EVALI стремится к нулю.

Можно ли курить вейп перед флюорографией

Врач-рентгенолог изучает снимок флюорографии лёгкихОптимально воздержаться минимум за несколько часов до обследования. Причина проста: свежий пар может спровоцировать кратковременное раздражение дыхательных путей, что создаст впечатление усиленного рисунка или расширения корней. Это не критично, но может дать ложное ощущение воспаления. Поэтому лучше не парить, чтобы результат был максимально точным.

Также у некоторых людей разовая сессия парения вызывает дискомфорт или лёгкое першение. Это тоже может стимулировать кашлевой рефлекс, из-за чего на снимке будет небольшое усиление структуры сосудов. Поэтому лучше не парить, чтобы результат был максимально точным. Однако если человек случайно попарил перед процедурой, это не приведёт к каким-то серьёзным искажениями. Просто врач может рекомендовать переснять снимок, если увидит признаки, которые выглядят неоднозначно.

Флюорография и курение: чем могут отличаться снимки курильщика сигарет и вейпера

У курильщика со стажем на снимке часто видны признаки хронического бронхита: уплотнение стенок бронхов, расширение корней, неоднородность лёгочных полей. Это прямое следствие продуктов горения. У человека, который парит, таких характерных изменений меньше, так как аэрозоль не содержит смол и угарного газа.

Снимок может показать косвенные признаки — например, умеренное усиление сосудистого рисунка — но эти признаки не позволяют определить источник раздражения. Аналогичная картинка может появиться после перенесённой инфекции или аллергии. Поэтому когда обсуждается влияние вейпинга на флюрографию, важно сравнивать степень выраженности. У курильщика изменения стабильные и предсказуемые. У вейпера — минимальные и чаще всего обратимые. Это ещё раз подтверждает, что парение и флюорография не находятся в прямом противоречии.

Может ли флюорография показать следы вейпинга: выводы

Резюмируя всё вышеописанное, можно сказать: флюорография не предназначена для выявления факта парения. Она фиксирует последствия воспаления лёгких, но не может указать, что именно стало причиной. Поэтому вопрос «видно ли на флюорографии курение электронных сигарет» имеет чёткий ответ: напрямую — нет, косвенно — иногда, но без возможности наверняка установить источник изменений.

Также важно учитывать индивидуальные особенности организма. У одних снимок остаётся чистым, у других регулярное раздражение слизистой может давать усиленный рисунок. Но и в этом случае отличить влияние аэрозоля от перенесённой инфекции невозможно. Поэтому обсуждая, влияет ли вейп на флюорографию, корректнее говорить о вероятности дополнительных нагрузок на дыхательную систему, но не о наличии специфических маркеров. Если человек использует проверенные жидкости и качественные вейпы, такие как одноразовые электронные сигареты из нашего каталога, риск минимален.

Таким образом, можно ли на флюорографии увидеть, что человек парит электронные сигареты — вопрос, на который медицина даёт однозначный вывод: сам факт парения не виден, а возможные изменения чаще всего минимальны.

Поделиться с друзьями:

Часто задаваемые вопросы

  1. Видно ли на флюорографии, что человек парит электронные сигареты?

    Нет, флюорография не показывает сам факт парения. Она фиксирует только общие изменения в лёгких, которые могут возникать по разным причинам.

  2. Может ли врач по снимку отличить вейпинг от курения сигарет?

    Нет, различить по снимку невозможно. У сигарет есть более выраженные маркеры хронического раздражения, но они не являются уникальными.

  3. Нужно ли воздерживаться от вейпа перед флюорографией и на сколько?

    Да, желательно 2–3 часа. Свежий пар может временно усилить бронхиальный рисунок и создать ложное ощущение воспаления.

  4. Какие изменения на снимке заставляют врача задавать вопросы о курении?

    Усиление лёгочного рисунка, расширение корней, неоднородность тканей или признаки хронического раздражения — но все они неспецифичны.

  5. Может ли нормальный снимок исключать влияние вейпинга на дыхательные пути?

    Нет. Чистая флюорография лишь означает отсутствие видимых изменений, но не исключает умеренное раздражение или ранние процессы, которые рентген не фиксирует.

Отзывы о статье:
Войти с помощью
Будь в курсе всех событий
Узнавай обо всём самым первым, чтобы точно не упустить наши уникальные предложения и акции!

Делись с нами своей почтой, мы оповестим тебя обо всех актуальных новинках, акциях и скидках!
Наш Telegram
Все самые актуальные новости, подборки и миксы

Советы от кальянных мастеров Hookah Market
Не бажаєте перейти на українську?

Нагадуємо вам про те, що у нас є україномовна версія сайту ;)